Dental Implants in St Helens:
Restoring More Than Just a Missing Tooth
When a tooth is lost, it affects more than just that individual tooth. It can have long-term consequences on neighboring teeth, the jawbone, and even your bite. Thankfully, dental implants offer an excellent solution to address these concerns effectively.
Book A Dental Implant Consultation
During your initial consultation, you will have the opportunity to personally meet our team and carefully consider the wide range of options available. Rest assured, there will be no pressure whatsoever to commit to any treatment during this visit.
Key Highlights of Single Implants:
A PERMANENT OPTION

Boost your confidence
Dental implants offer a durable solution for missing teeth, bringing back your confidence and tranquility.
RESTORE YOUR SMILE

Feel confident again
With dental implants, you can experience a strong, fully functional, and visually appealing smile.
STUNNING SMILES

Beautiful and natural
Your newly placed dental implants will seamlessly integrate with your natural smile, enhancing your facial features effortlessly.
CONSULTATION

Book yours today
To determine your suitability for dental implants, we will carefully assess your oral health and jawbone density.
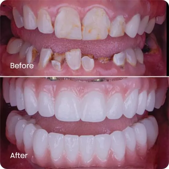
How Your Smile Could Look With Dental Implant
Here’s how your new smile could look if you join hundreds of other patients who transformed their smiles with Alverna House, your trusted private dentist in St Helens.


At Alverna House Dental Practice, we genuinely prioritise your well-being throughout every visit, addressing not only your physical comfort but also your emotional and financial needs.
We highly cherish the unique bond we establish with each patient. This involves creating a transparent and honest environment while ensuring ample time is dedicated to each appointment, so you never feel hurried. Our aim is to guarantee your complete satisfaction and unwavering support during every visit.
We provide 0% financing options for all treatments, and the application process takes a mere two minutes, with an immediate response.
Our dental team actively fosters meaningful connections and genuine relationships with each patient.
We strive to create a comforting experience and have dedicated non-clinical areas where you can openly discuss any fears or concerns you may have.
Any Question? We can help you.
Can’t find an answer? Call us at 01744 739600 or email with contact tco@alvernahouse.co.uk
The cost of dental implants in St Helens can vary based on factors such as the number of implants needed, additional procedures required, and the specific location of the treatment. To get an accurate cost estimate tailored to your unique needs, we recommend scheduling a consultation with our team.
Dental implant procedures are typically performed under local anesthesia, ensuring a comfortable and pain-free experience. After the procedure, you may experience mild discomfort or swelling, but these symptoms can usually be managed with over-the-counter pain medication as prescribed by your dentist.
The duration of dental implant surgery can vary depending on the complexity of your case and the number of implants being placed. On average, the surgical procedure takes a few hours. However, it’s important to note that the overall treatment timeline may span several months as it involves proper healing and integration of the implants with your jawbone.
Still need help?
Click on the blue round button at the bottom right corner of this page. You can also email our support team at tco@alvernahouse.co.uk
Meet the Team
Associate Dentist
GDC 62794
Every member of our team is wholeheartedly dedicated to prioritizing your comfort, going beyond the realm of your dental health requirements.